Rabbit Monoclonal Antibody Collagen Type IV is a major component of the basement membrane and plays an important role in cell adhesion, migration, differentiation and…
Mouse Monoclonal Antibody The spiral shaped bacteriumHelicobacter pyloriis strongly associated with inflammation of the stomach and is also implicated in the development of gastric malignancy.H.…
Mouse Monoclonal Antibody It recognizes a protein of about 29kDa, which is identified as Calretinin (also known as Calbindin 2). Calretinin is a vitamin D-dependent…
Rabbit MonoPoly Antibody The specificity of this monoclonal antibody to its intended target was validated by HuProtTM Array, containing more than 19.000 full-length human proteins.…
These instructions apply to the WellMed Citrate buffer, Heat-Induced EpitopeRetrieval (10x, Tween20). Intended Use Summary and explanation Reagents supplied Usage Warnings and precautions Storage and…
Rabbit Monoclonal Antibody The Ki-67 protein is a nuclear protein doublet, 345-395 kDa, playing a pivotal role in maintaining cell proliferation. In diagnostic histopathology and…
Mouse Monoclonal Antibody Specification: The Bcl-6 protein (B-cell CLL/lymphoma 6, zinc finger protein 51) is a nuclear zinc finger transcription factor with an N-terminal POZ…
Recombinant Mouse Monoclonal Antibody PD-L1 is a checkpoint regulator in immune cells, it is expressed on immune or non-hematopoietic cells. Expression of the protein is…
Rabbit monoclonal antibody Recognizes a protein of 36kDa, identified as Cyclin D1, one of the key cell cycle regulators, is a putative protooncogene overexpressed in…
Mouse Monoclonal antibody This monospecific monoclonal antibody recognizes a protein of 38kDa that is identified as Synaptophysin. It is an N-glycosylated integral membrane protein found…
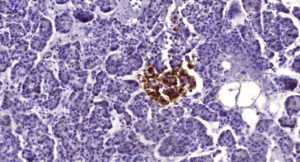
Mouse Monoclonal Antibody It recognizes a 47kDa protein, which is identified as alpha sub-unit of Inhibin. It is a gonadal protein that preferentially suppresses the…
Mouse Monoclonal antibody This Mab recognizes a protein of 58kDa, which is identified as Cytokeratin 5 (KRT5). This type II cytokeratin is specifically expressed in…
CD8a is a cell surface receptor expressed either as a heterodimer with the CD8 beta chain (CD8 alpha/beta) or as a homodimer (CD8 alpha/alpha). A…
It recognizes a cell surface glycoprotein of 95/115/135kDa (depending upon the extent of glycosylation), identified as CD43. 70-90% if T-cell lymphomas and from 22-37% of…
Expression of DOG-1 protein is elevated in the gastrointestinal stromal tumors (GIST’s), KIT signaling-driven mesenchymal tumors of the GI tract. DOG-1 is rarely expressed in…
Our distributor partner Zeta Corporation launced new products in April! Zeta offers over 375 individual primary antibodies of high-qualityFDA registered, IVD certified for Pathology/IHC. These…
PRAME (PReferentially expressed Antigen in MElanoma), also known as Preferentially expressed antigen in Melanoma, is a tumor-associated antigen that is preferentially expressed in human melanomas…
Immunologic introduces Tenascin C clone T2H5. Tenascin C clone T2H5 is a multifunctional, disulfide-linkedhexameric extracellular matrix glycoprotein expressed in association with mesenchymal epithelial interactions during…