Menu Close

New product: CDX-2 clone MonoPoly/6271R

Rabbit MonoPoly Antibody

The specificity of this monoclonal antibody to its intended target was validated by HuProtTM Array, containing more than 19.000 full-length human proteins. The intestine-specific transcription factors CDX1 and CDX2 are important for directing intestinal development, differentiation, proliferation and maintenance of the intestinal phenotype. CDX2 protein expression has been seen in GI carcinomas. Anti-CDX2 has been useful to establish GI origin of metastatic adenocarcinoma and carcinoids and is especially useful in distinguish metastatic colorectal adenocarcinoma from lung adenocarcinoma. However, mucinous carcinomas of the ovary also expressed CDX2 protein. It limits the usefulness of this marker in the distinction of metastatic colorectal adenocarcinoma from mucinous of the ovary.

Availability:

Catalog No.ContentsVolume
ILM6271-C01CDX-20,1 ml concentrate
ILM6271-C05CDX-20,5 ml concentrate
ILM6271-C1CDX-21,0 ml concentrate

Intended use: For Research Use Only

Reactivity: Human, others not known

Clone: MonoPoly/6271R

Human Gene ID: 1045

Human SwissProt: Q99626

Human Unigene: 174249

Species of origin: Rabbit

Isotype: IgG, Kappa

Immunogen: Recombinant fragment and/of synthetic peptides of human CDX2 protein

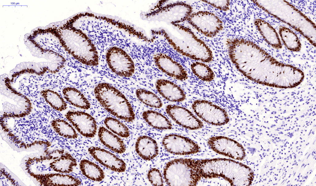
Control Tissue: Colon carcinoma

Staining: nuclear    

Presentation: Bioreactor Concentrate with 0.05% Azide

Application and suggested dilutions:

Pre-treatment: Heat induced epitope retrieval in 10 mM Citrate buffer pH6.0 for 20 minutes is required for IHC staining on formalin-fixed, paraffin embedded tissue sections.
Immunohistochemical staining of formalin-fixed, paraffin embedded tissue section (dilution up to 1:100)

The optimal dilution for a specific application should be determined by the investigator.

Note: Dilution of the antibody in 10% normal goat serum followed by a Goat anti-Rabbit secondary antibody-based detection is recommended.

Storage & Stability: Store at 2-8 °C. Do not use after expiration date printed on the vial.

Reference:

  1. Mallo, G.V., et al. 1998, Expression of the CDX1 and CDX2 homeotic genes leasds to reduced malignancy in colon cancer-derived cells. J. biol. Chem. 273: (14030-14036)
  2. Silberg, D.G., et al. 2000. CDX1 and CDX2 expresiion during intestinal development. Gastroent. 119:961 971

Posted in New products